ACL Reconstruction surgery

High Tibial Osteotomy in Bengaluru at VijaySheela Sports-Orthopedics Clinic

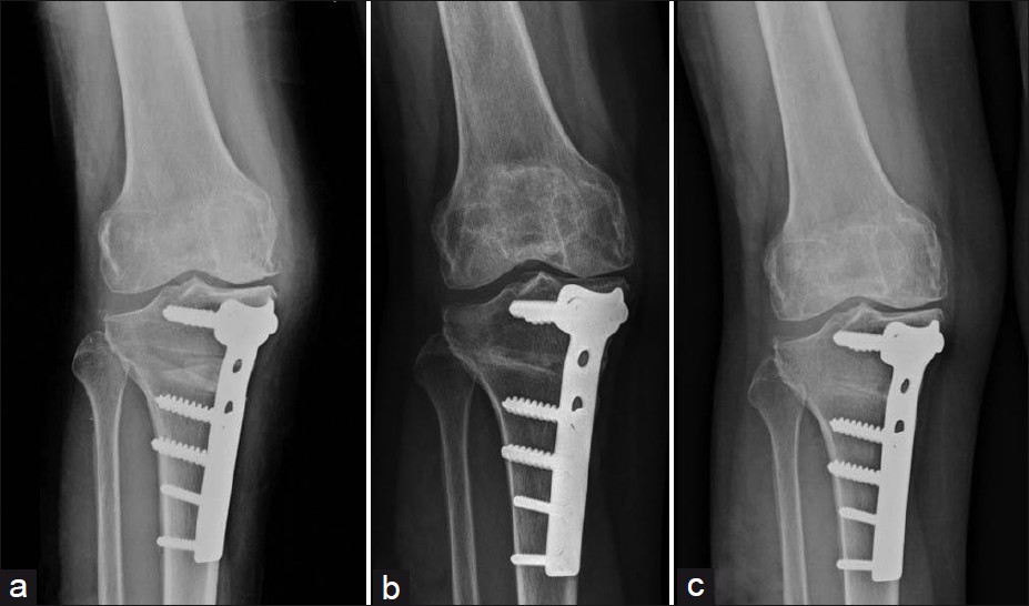
At VijaySheela Sports-Orthopedics Clinic, Bengaluru, Dr. Vijay Girish performs High Tibial Osteotomy (HTO), a surgical procedure to correct knee alignment issues, particularly in patients with unicompartmental osteoarthritis or malalignment. This procedure redistributes weight-bearing forces across the knee, reduces pain, and delays the need for knee replacement, helping patients maintain an active lifestyle.

What is High Tibial Osteotomy?

High Tibial Osteotomy is a procedure in which the upper part of the shinbone (tibia) is surgically cut and realigned to shift weight away from the damaged portion of the knee. Plates and screws are used to stabilize the bone during healing. HTO improves knee function, reduces pain, and can help prevent or delay arthritis progression in the affected compartment.

Benefits of High Tibial Osteotomy

High Tibial Osteotomy provides several advantages for patients with knee malalignment or early-stage arthritis. Key benefits include:

  • Corrects knee alignment, redistributing weight away from the damaged compartment.
  • Reduces pain and discomfort associated with malalignment or arthritis.
  • Delays or prevents the need for knee replacement in younger, active patients.
  • Improves knee function, mobility, and overall quality of life.
  • Maintains long-term joint health by addressing early degenerative changes.

Recovery and Outcomes

  • Initial recovery involves controlled weight-bearing and gradual knee movement.
  • Physiotherapy helps strengthen surrounding muscles and restore full knee function.
  • Patients may use crutches for a few weeks depending on the extent of correction.
  • Gradual return to daily activities and low-impact sports is possible after bone healing.
  • Successful HTO improves knee alignment, reduces pain, and supports long-term joint health.

High Tibial Osteotomy in New BEL Road

High Tibial Osteotomy at VijaySheela Sports-Orthopedics Clinic, Bengaluru is performed with a patient-centered approach. Dr. Vijay Girish uses precise surgical planning, advanced techniques, and personalized rehabilitation protocols to restore knee alignment, relieve pain, and ensure optimal long-term joint function.

back top